Zaawansowana protetyka: Fundament trwałej metamorfozy uśmiechu i pełnej rehabilitacji
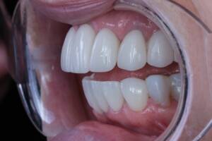
Współczesna protetyka to dziedzina, w której precyzyjna inżynieria medyczna spotyka się z najwyższą estetyką, tworząc rozwiązania zmieniające jakość życia Pacjenta. Spektakularna metamorfoza uśmiechu, którą prezentujemy, jest w istocie pełnowymiarową rehabilitacją narządu żucia. Zastosowanie najwyższej klasy tlenku cyrkonu w jasnym odcieniu 0M2 pozwoliło uzyskać efekt, obok którego nie sposób przejść obojętnie. Ten poziom odbudowy protetycznej to jednak tylko wierzchołek góry lodowej – prawdziwy sukces opiera się na fundamencie, jakim jest kompleksowa opieka specjalistyczna.
Protetyka cyfrowa CZAR-LAB: Precyzja, która przywraca funkcję i piękno
Odtworzenie prawidłowego zgryzu oraz poprowadzenie całego, skomplikowanego planu leczenia protetycznego spoczywało w rękach specjalistki Ewy Popławskiej-Chańko. To jej medyczna wizja wyznaczyła kierunek dla naszego autorskiego laboratorium CZAR-LAB, gdzie technologia CAD/CAM przenosi projekty w wymiar mikrometrycznej doskonałości.
Wykorzystując potęgę protetyki cyfrowej, technik dentystyczny Bartosz Jurguć wyfrezował korony z niespotykaną dokładnością, co jest kluczowe dla komfortu Pacjenta. Następnie ceramistka Magdalena Kołpak podjęła się mistrzowskiej, ręcznej indywidualizacji detali. To jej praca z przeziernością i fakturą sprawiła, że zaawansowana odbudowa protetyczna nabrała witalności i naturalnego charakteru.
Kompleksowa opieka specjalistyczna podłożem sukcesu
Aby protetyka mogła służyć bezbłędnie przez dekady, metamorfoza uśmiechu musi zostać poprzedzona wnikliwym przygotowaniem biologicznym. Sukces tej przebudowy to dowód na potęgę stomatologii interdyscyplinarnej.
Zanim przystąpiono do skanowania i projektowania nowego uśmiechu:
-
Ratowanie własnych zębów: Zespół endodontyczny – lek. dent. Hanna Lebedz, lek. dent. Izabela Rutkowska oraz lek. dent. Maciej Maksymczuk – z mikroskopową precyzją zabezpieczył fundamenty, maksymalnie wykorzystując własne tkanki Pacjenta.
-
Środowisko jamy ustnej: Teresa Szóstko przeprowadziła wnikliwą higienizację, tworząc perfekcyjne, zdrowe warunki dla nowych uzupełnień.
Komplementarne ścieżki leczenia dostosowane do anatomii
W klinice CZAR-DENT kompleksowa opieka specjalistyczna przybiera różne formy, zawsze podporządkowane dobru Pacjenta. Z ogromnym sukcesem realizujemy sztandarowe procedury pełnołukowe, oferując spektakularny nowy uśmiech w jeden dzień. Takie rozwiązanie natychmiast przywraca pewność siebie i pełną funkcję żucia.
Kiedy jednak uwarunkowania anatomiczne lub decyzja o ratowaniu naturalnego uzębienia wymagają innej drogi, z równą precyzją prowadzimy Pacjenta przez interdyscyplinarny, długoterminowy proces. Niezależnie od tego, czy metamorfoza uśmiechu zamyka się w kilkunastu godzinach, czy opiera się na wieloetapowym leczeniu zachowawczym i protetycznym – cel jest zawsze ten sam: bezkompromisowa jakość i niezawodna funkcja.








