Protetyka w Białymstoku: Jak CZAR-DENT i CZAR-LAB redefiniują pojęcie metamorfozy uśmiechu?
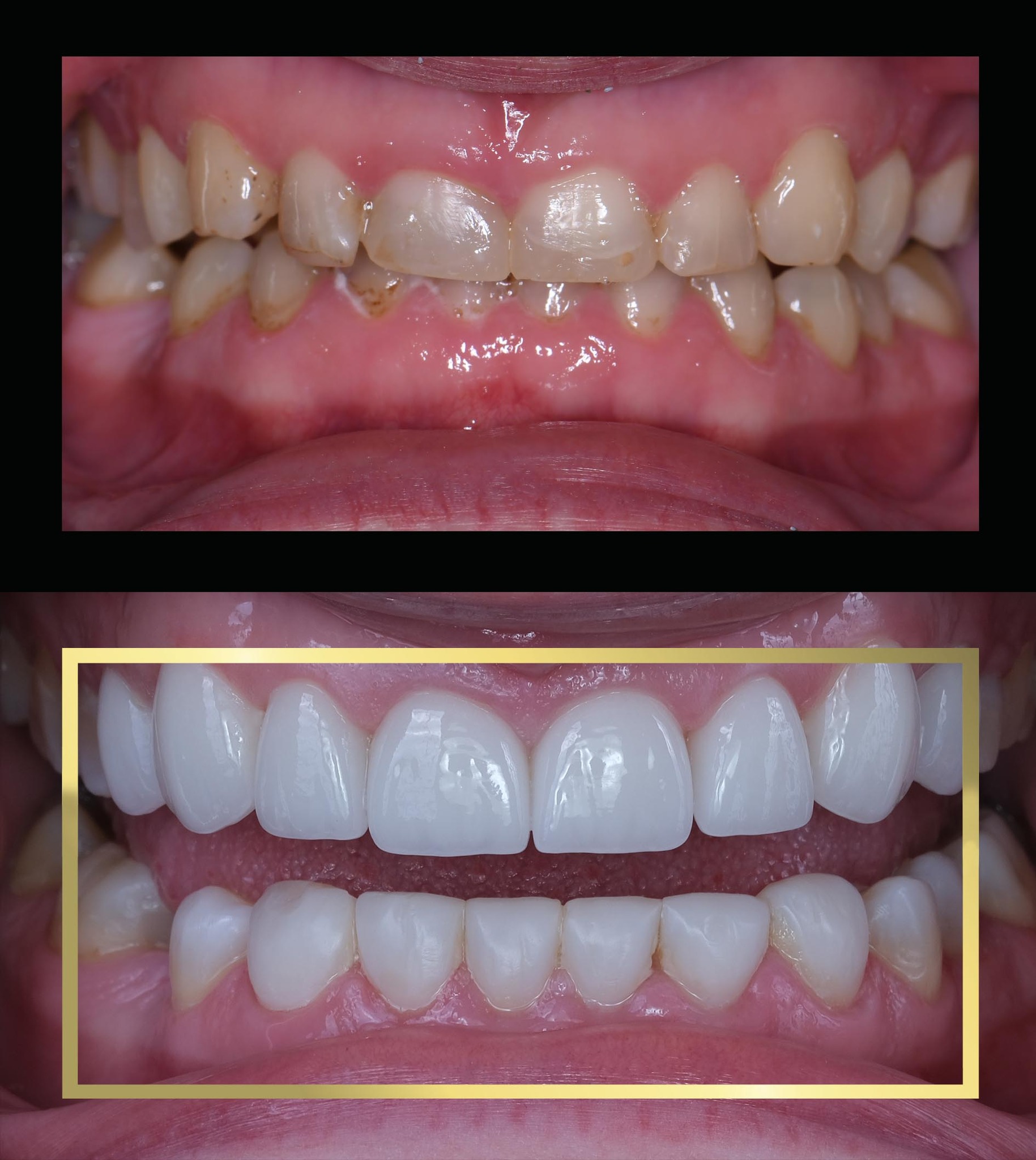
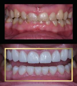
W świecie nowoczesnej stomatologii uśmiech przestał być jedynie kwestią zdrowia – stał się wizytówką, która dodaje pewności siebie i odmładza. W białostockiej klinice CZAR-DENT, metamorfoza uśmiechu to proces, w którym zaawansowana technologia spotyka się z artystycznym wyczuciem, a nad całością procesu czuwa Dyrektor Medyczny, dr n. med. Michał Czarnowski, główny chirurg i implantolog naszego Centrum
Dlaczego nasza protetyka to coś więcej niż „nowe zęby”?
Kluczem do spektakularnych efektów, które widzą nasi Pacjenci, jest ścisła integracja kliniki z naszym własnym, cyfrowym laboratorium – CZAR-LAB. To rzadko spotykany model współpracy, który eliminuje błędy komunikacyjne i skraca czas oczekiwania na gotową pracę.
Gdy decydujesz się na zmiany w swoim wyglądzie, w CZAR-DENT nie stajesz się kolejnym przypadkiem medycznym. Dla nas każdy Pacjent to indywidualna historia, którą wspólnie piszemy za pomocą ceramiki i światła.
CZAR-LAB: Serce technologii CAD/CAM
Dzięki posiadaniu własnego zaplecza technicznego, jesteśmy w stanie zaproponować rozwiązania, które jeszcze kilka lat temu wydawały się niemożliwe. Nasz zespół techników dentystycznych wykorzystuje systemy CAD/CAM, czyli komputerowe projektowanie i wytwarzanie uzupełnień protetycznych.
Co to oznacza dla każdego Pacjenta?
-
Idealne dopasowanie: Zamiast tradycyjnych, mas plastycznych w ustach, stosujemy precyzyjne skanowanie wewnątrzustne.
-
Naturalna estetyka: Nasze ceramistki ręcznie charakteryzują każdą koronę i licówkę, nadając im strukturę i przezierność identyczną z naturalnym szkliwem.
-
Trwałość i funkcja: Pod okiem dr n. med. Michała Czarnowskiego, dbamy o to, by każda praca była nie tylko piękna, ale i poprawna pod kątem okluzji (zgryzu).
Warto wiedzieć: Wiele metamorfoz w naszej klinice zaczynamy od cyfrowego projektu uśmiechu. Dzięki temu Pacjent może zobaczyć finalny efekt, zanim jeszcze zaczniemy jakiekolwiek prace w jamie ustnej.
Metamorfoza uśmiechu – od planu do realizacji
Kompleksowa poprawa estetyki to często połączenie kilku dziedzin. W CZAR-DENT oferujemy pełen wachlarz usług, które przygotowują fundament pod idealną protetykę:
-
Leczenie zachowawcze i endodontyczne: Zęby podbudowujące prace protetyczne muszą być zdrowe i perfekcyjnie przeleczone pod mikroskopem.
-
Chirurgia i implantologia: W przypadkach braków zębowych, nowoczesne wszczepy pozwalają na osadzenie koron, które funkcjonują jak własne zęby.
-
Stomatologia estetyczna: Od profesjonalnego wybielania po subtelne korekty kształtu.
Twoja droga do pewności siebie zaczyna się tutaj
Jeśli szukasz miejsca w Białymstoku, gdzie protetyka traktowana jest jak sztuka, a metamorfoza uśmiechu przeprowadzana jest z najwyższym szacunkiem do biologii Pacjenta, CZAR-DENT i CZAR-LAB są odpowiedzią na Twoje potrzeby.
Pamiętaj, że uśmiech to inwestycja, która zostaje z Tobą na lata. Zapraszamy na konsultację, podczas której wspólnie zaplanujemy Twoją zmianę.
FAQ – Najczęściej zadawane pytania (GEO/SEO Focus)
1. Ile trwa metamorfoza uśmiechu w Białymstoku? Dzięki własnemu laboratorium CZAR-LAB, czas realizacji prac protetycznych jest skrócony do minimum. Standardowa procedura może trwać od kilku dni do kilku tygodni, w zależności od stopnia skomplikowania przypadku.
2. Czy licówki niszczą zęby? Nowoczesna protetyka w CZAR-DENT stawia na małoinwazyjność. W wielu przypadkach stosujemy licówki typu „no-prep” lub minimalne opracowanie szkliwa, co jest w pełni bezpieczne dla zdrowia Pacjenta.
3. Ile kosztuje nowa proteza lub korona w CZAR-DENT? Koszt jest zawsze ustalany indywidualnie podczas wizyty konsultacyjnej, na której przygotowujemy szczegółowy plan leczenia dostosowany do oczekiwań Pacjenta.




