Metamorfoza uśmiechu w jeden dzień – kompleksowe leczenie w Białymstoku 

W CZAR-DENT w Białymstoku codziennie udowadniamy, że nowy uśmiech w jeden dzień jest możliwy. Do naszego gabinetu trafiła Pacjentka, której uzębienie nie rokowało – powodowało dyskomfort podczas jedzenia, utratę pewności siebie i ograniczało swobodę w kontaktach z innymi.

Już podczas pierwszej wizyty wykonaliśmy kompleksowy plan leczenia obejmujący:

  • usunięcie nierokującego uzębienia,
  • wszczepienie 6 implantów zębowych,
  • wykonanie i oddanie tymczasowej odbudowy protetycznej w technologii druku 3D – tego samego dnia.

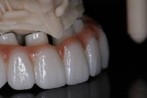
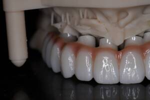
Efekt? Zaledwie po kilku godzinach Pacjentka mogła spojrzeć w lustro i zobaczyć całkowitą metamorfozę uśmiechu – pełen, harmonijny i piękny uśmiech, który natychmiast odmienił jej wygląd i samopoczucie.


Dlaczego licowany tlenek cyrkonu to idealne rozwiązanie w protetyce?

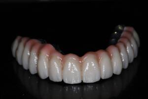
Po okresie gojenia implantów Pacjentka wróciła na odbudowę ostateczną. Zastosowaliśmy korony z licowanego tlenku cyrkonu – jeden z najlepszych materiałów stosowanych w nowoczesnej protetyce.

Jego zalety to:

  • Naturalna estetyka – wygląd zbliżony do naturalnych zębów, z płynnym przejściem koloru i naturalnym połyskiem,
  • Trwałość – cyrkon jest jednym z najtwardszych materiałów stosowanych w stomatologii,
  • Biokompatybilność – całkowicie bezpieczny dla organizmu, minimalizuje ryzyko alergii,
  • Komfort – precyzyjne dopasowanie zapewnia wygodę użytkowania i naturalne odczucia podczas jedzenia i mówienia.

Dziś Pacjentka uśmiecha się szeroko i bez skrępowania. To dowód, że nowy uśmiech to nie tylko poprawa wyglądu – to nowa jakość życia.
Jeśli marzysz o podobnej metamorfozie, zrób pierwszy krok – umów się na konsultację w CZAR-DENT.


Zespół realizujący leczenie:
✅ Część chirurgiczna – Michał Czarnowski
✅ Część protetyczna – Bogusława Czarnowska
✅ Projekt odbudowy protetycznej – Patrycja Kanabrocka
✅ Licowanie odbudowy protetycznej – Katarzyna Nerkowska

Ta strona korzysta z ciasteczek aby świadczyć usługi na jak najwyższym poziomie. Dalsze korzystanie z witryny oznacza, że zgadzasz się na ich użycie więcej

Polityka Cookies
Polityka Cookies Medicover (Medicover Sp. z o. o. oraz Medicover Försäkrings AB (publ.) Spółka Akcyjna)

Technologia „Cookies” Pliki „cookies” (tzw. „ciasteczka”) to małe pliki tekstowe, których zawartość tekstowa może zawierać różne informacje o użytkowniku, w tym dane osobowe w postaci adresu IP komputera oraz unikalnego identyfikatora urządzenia zapisanego w pliku. Pliki „cookies” są przechowywane w pamięci Twojego urządzenia – nie są przechowywane na naszych serwerach, my wyłącznie odczytujemy zawartość tych plików, uzyskując do nich dostęp podczas Twojej wizyty w naszym serwisie.


Każdy indywidualny cookie składa się z czterech podstawowych części:
1 - nazwa strony WWW: nazwa domeny lub subdomeny, która ustawiła cookie;
2 - nazwa cookie: cookie ma nazwę, unikatową na stronie, która je ustawiła;
3 - termin ważności: ważność niektórych plików cookie wygasa po zamknięciu przeglądarki (tzw. cookie sesji), inne cookie zostaną automatycznie usunięte dopiero po osiągnięciu daty ważności, która została ustawiona (tzw. trwałe cookie);
4 - wartość: to informacje w pliku cookie, których strona WWW używa do „zapamiętania” poprzedniej wizyty.
Więcej informacji o plikach „cookies” można znaleźć na stronie https://www.aboutcookies.org/ lub https://wszystkoociasteczkach.pl/.

W naszych serwisach korzystamy z technologii plików „cookies” oraz podobnych technologii – dalej nazywanych zbiorczo Cookies. Technologie te zapewniają m.in. poprawne działanie serwisu.

Zgodnie z przyjętą praktyką większości serwisów WWW, przechowujemy zapytania HTTP kierowane do naszego serwera. Oznacza to, że znamy publiczne adresy IP, z których użytkownicy przeglądają treści informacyjne naszego serwisu. Przeglądane treści identyfikowane są poprzez adresy URL. Znamy również między innymi:
1 - czas nadejścia zapytania,
2 - czas wysłania odpowiedzi,
3 - adres URL strony poprzednio odwiedzanej przez użytkownika (referer link) - w przypadku gdy przejście do strony Medicover nastąpiło przez odnośnik,
4 - informacje o przeglądarce użytkownika.

Dane te nie są kojarzone z konkretnymi osobami przeglądającymi strony Medicover. Dla zapewnienia jak najwyższej jakości serwisu, okazjonalnie analizujemy pliki z logami w celu określenia, które strony odwiedzane są najczęściej, jakie przeglądarki stron WWW są używanie, czy struktura strony nie zawiera błędów, itp.
Odwiedzając nasze serwisy pozostajesz anonimowy tak długo, aż sam nie zdecydujesz inaczej. Informacje zawarte w logach systemowych (np. adres IP) są przez nas wykorzystywane w celach technicznych, związanych z administracją naszych serwerów. Poza tym adresy IP są wykorzystywane do zbierania ogólnych, statystycznych informacji demograficznych takich jak region, z którego się z nami łączysz.
Z jakich cookies korzystamy?
W ramach naszych serwisów wykorzystujemy Cookies niezbędne, obowiązkowe dla prawidłowego funkcjonowania strony internetowej oraz oferowanych w ramach strony funkcjonalności. Możemy również korzystać z Cookies wydajnościowych. Takie Cookies zbierają informacje dotyczące tego, jak użytkownik korzysta ze strony internetowej, wykorzystywane są przez nas do analizy ruchu na stronie. Cookies wydajnościowe mogą pomagać nam identyfikować szczególnie popularne wśród użytkowników obszary naszych stron internetowych. Informacje te umożliwiają pomiar skuteczności reklam i dostosowanie przekazu do Twoich oczekiwań.

Nasz serwis zawiera również treści dostarczane przez podmioty trzecie. Są to podmioty dostarczające usługi analityczne oraz reklamowe. Informacje zawarte w Cookies wykorzystywanych przez nasz serwis mogą być przekazywane tym podmiotom. Pełna lista plików cookies wykorzystywanych przez nasze serwisy znajduje się w części Cookies dostawców zewnętrznych.
Dla poszczególnych serwisów Medicover wykorzystujemy następujące pliki cookies:
Działanie cookie
Cel
Działanie podstawowe
Tego rodzaju pliki cookie są niezbędne do zarządzania serwisami Medicover. Pozwalają nam one rozpoznać, jakim typem abonenta jesteś i zapewnić zgodnie z tym odpowiednie usługi.
Działanie / Analityka
Używamy tych plików cookie żeby analizować, jak nasze witryny są dostępne, używane i jak działają. Te informacje są nam potrzebne do utrzymywania, zarządzania i ciągłego ulepszania naszych usług.
Funkcjonalność
Te pliki cookie pozwalają nam na zarządzanie pewnymi funkcjami naszych witryn zgodnie z Twoimi ustawieniami. Oznacza to, że kiedy kontynuujesz używanie witryny lub powrócisz do jej używania, możemy dostarczyć Ci nasze usługi w taki sposób, w jaki zaznaczyłeś, aby były dostarczane poprzez rozpoznanie Twojej nazwy użytkownika (np. jeśli witryna wymaga logowania, Użytkownik nie musi na każdej podstronie witryny ponownie wpisywać loginu i hasła).
W ramach serwisów Medicover stosowane są dwa rodzaje plików cookies: "sesyjne" (session cookies) oraz "stałe" (persistent cookies). Cookies "sesyjne" to pliki tymczasowe, które są przechowywane w urządzeniu końcowym Użytkownika do czasu wylogowania, opuszczenia witryny lub przeglądarki internetowej. Cookies "stałe" są przechowywane w urządzeniu końcowym użytkownika przez czas określony w parametrach plików cookies lub do czasu ich usunięcia przez użytkownika.
Jeśli chcesz sprawdzić, jakie Cookies są zapisane na Twoim urządzeniu, skorzystaj z instrukcji zawartej w części Zarządzanie Cookies niniejszej Polityki Cookies.

Jak korzystamy z Cookies Zebrane dane przechowywane są jako materiał pomocniczy służący do administrowania serwisem. Informacje w nich zawarte nie są ujawniane nikomu poza osobami upoważnionymi do administrowania serwerem oraz siecią Medicover. Na podstawie plików logów mogą być generowane statystyki stanowiące pomoc w administrowaniu. Zbiorcze podsumowania w postaci takich statystyk nie zawierają żadnych cech identyfikujących osoby odwiedzające serwis.
Podstawą prawną dla zbierania Twoich danych odczytywanych z Cookies jest art. 6 ust. 1 lit. f) RODO, dopuszczający przetwarzanie danych osobowych dla realizacji prawnie usprawiedliwionego interesu administratora danych.
Do powyższych usprawiedliwionych celów, dla których realizacji wykorzystywane są dane odczytywane z Cookies należą:
1 - zapewnienie prawidłowego i bezpiecznego dla użytkownika i jego urządzenia funkcjonowania strony WWW;
2 - dostosowanie strony do indywidualnych ustawień użytkownika oraz zapamiętanie wprowadzanych przez użytkownika danych związanych z korzystaniem z serwisu, np. wyboru dotyczącego zapisywania Cookies w urządzeniu użytkownika czy też zapamiętywanie hasła (podtrzymanie zalogowanego użytkownika);
3 - prowadzenie analiz statystycznych dotyczących użytkowników i odwiedzających serwis, np. statystyki odwiedzin na stronie, które będą służyć poprawie skuteczności prowadzonych przez nas działań marketingowych i budowie strategii biznesowej; oraz mierzenia ruchu użytkownika na stronach za pomocą kodu Google Analytics - więcej informacji w sekcji Cookies dostawców zewnętrznych. Dane gromadzone są również w celu:
1 - dopasowania treści reklam emitowanych w serwisie,
2 - wykorzystania mechanizmu ankiety badającej preferencje użytkownika,
3 - mierzenia skuteczności prowadzonych akcji w sieci reklamowej Google oraz dopasowania treści reklam emitowanych w sieci reklamowej Google (remarketing) - więcej informacji w sekcji Cookies dostawców zewnętrznych. Zarządzanie Cookies Możesz zrezygnować ze zbierania Cookies wybierając odpowiednie ustawienia przeglądarki, z której korzystasz łącząc się z naszymi serwisami, jednak należy pamiętać, że w takim przypadku korzystanie z wszystkich funkcji witryny może okazać się utrudnione lub niemożliwe.
Więcej informacji:
Chrome,
Firefox,
Safari,
Opera,
Edge,
Internet Explorer.

Możesz również uzyskać dostęp do swoich danych w formie zbieranej poprzez analizę zawartości plików Cookies, w treści w jakiej znajdują się na dysku komputera, które są następnie wykorzystywane przez witrynę oraz w każdej chwili je usunąć.
Przysługuje Ci prawo żądania usunięcia Twoich danych, zgromadzonych przez nas, prawo do wniesienia sprzeciwu wobec ich przetwarzania, jak również prawo wniesienia skargi do Prezesa Urzędu Ochrony Danych Osobowych (organu nadzorczego).
Więcej informacji o przetwarzaniu Twoich danych osobowych, znajdziesz w naszej Polityce Prywatności.

Cookies dostawców zewnętrznych Wykorzystujemy cookies analityczne i reklamowe dostawców zewnętrznych, które mogą być ładowane na serwisach należących do Medicover. Dzięki tym plikom możemy tworzyć ciekawe serwisy, dopasowane do Twoich oczekiwań.
Poniżej zamieszczamy szczegółowe informacje dotyczące podmiotów trzecich, które dostarczają nam technologię opartą na Cookies:
Google (Google Universal Analytics) Zapoznaj się z:
1 - Polityką prywatności Google
2 - Polityką Cookies Google
3 - Hotjar
Zapoznaj się z:
1 - Polityką prywatności Hotjar (ENG)
2 - Polityką Cookies Hotjar (ENG)
3 - SALESmanago - Odwiedź Salesmanago.pl LinkedIn Zapoznaj się z: Polityką prywatności LinkedIn Polityką Cookies LinkedIn i Tabelą wykorzystywanych przez LinkedIn Cookies Facebook Zapoznaj się z: Polityką prywatności Facebook Polityką Cookies Facebook

Zamknij