Czym jest All-on-X?
All-on-X to procedura implantologiczna, która pozwala na odbudowę całych łuków zębowych w oparciu o kilka implantów. Nazywana jest także „nowym uśmiechem w jeden dzień”, ponieważ jeszcze w dniu zabiegu Pacjent otrzymuje tymczasowe zęby umożliwiające normalne funkcjonowanie.
Dzięki All-on-X Pacjent może odzyskać nie tylko estetykę uśmiechu, ale także pełny komfort gryzienia i mówienia – bez konieczności noszenia ruchomej protezy.
Jak przebiega zabieg All-on-X w Białymstoku?
W CZAR-DENT w Białymstoku każdy zabieg All-on-X planowany jest cyfrowo, z wykorzystaniem nowoczesnych technologii. W opisywanym przypadku proces wyglądał następująco:
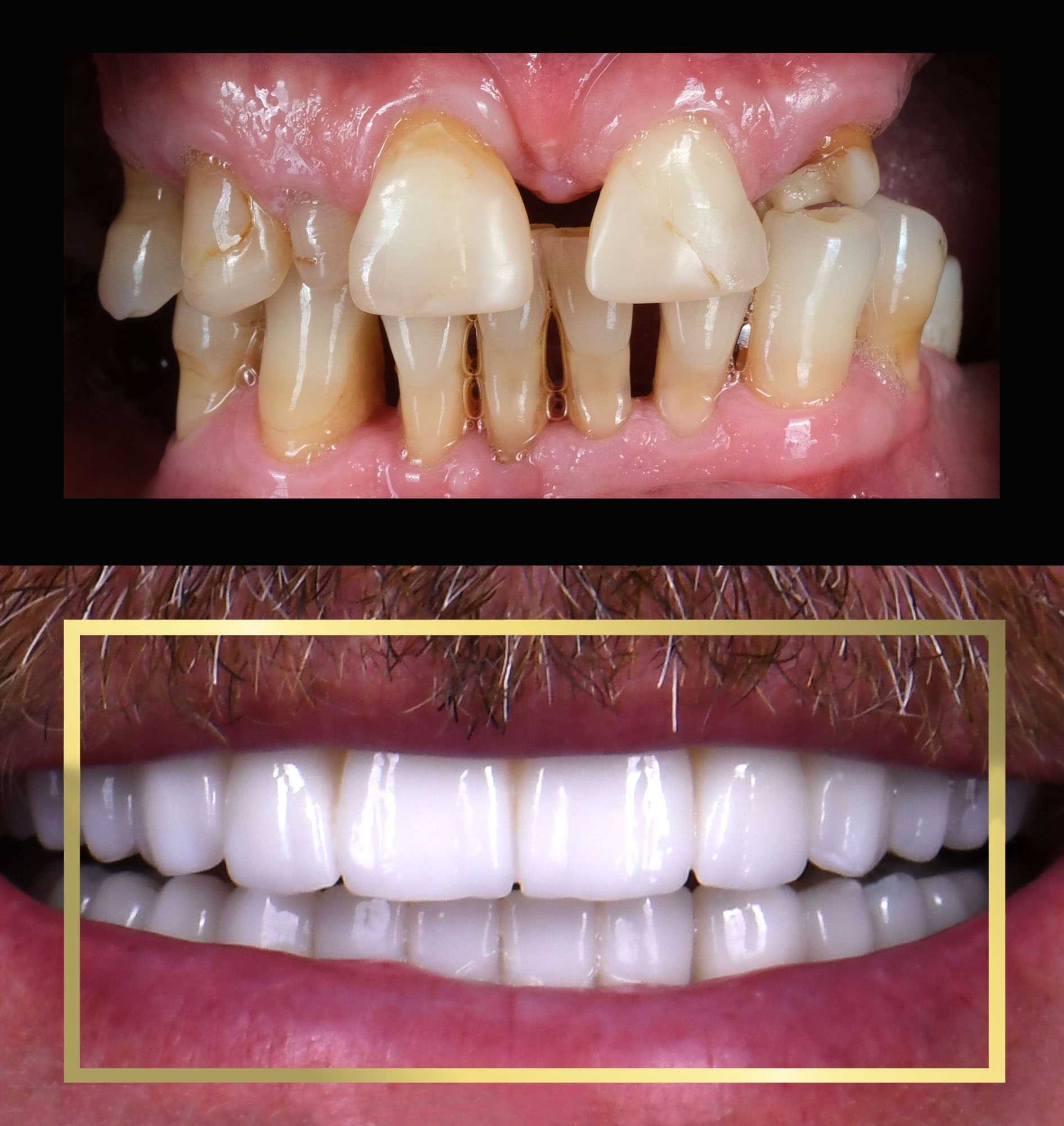
- usunięcie zębów nierokujących,
- nawigowana implantacja – wszczepiono 8 implantów w szczęce oraz 6 implantów w żuchwie,
- tymczasowa odbudowa 3D w technologii CAD/CAM – Pacjent już tego samego dnia otrzymał pełen uśmiech, który towarzyszył mu w okresie wgajania implantów.
Ostateczna odbudowa protetyczna
Po integracji implantów przyszedł czas na finalną pracę protetyczną, która zapewnia Pacjentowi trwałość i najwyższą estetykę:
- szczęka – pełnołukowa odbudowa z licowanego tlenku cyrkonu z maską dziąsłową, osadzona na tytanowej belce,
- żuchwa – odbudowy z pełnokonturowego cyrkonu, indywidualnie charakteryzowane, wykonane na implantach oraz na zębach własnych.
Za licowanie i charakteryzację odpowiadała Magdalena Kołpak, nadając odbudowie naturalny wygląd i dopasowując ją do rysów twarzy Pacjenta.
Dlaczego All-on-X to metamorfoza uśmiechu?
All-on-X to nie tylko odbudowa zębów – to pełna metamorfoza uśmiechu. Pacjenci zyskują:
- nową estetykę i naturalny wygląd zębów,
- stabilność i funkcjonalność bez protez ruchomych,
- większą pewność siebie w życiu prywatnym i zawodowym.
Zespół specjalistów CZAR-DENT
Sukces leczenia All-on-X wymaga współpracy wielu ekspertów. W tym przypadku w pracach uczestniczyli:
- chirurgia – Michał Czarnowski,
- protetyka – Bogusława Czarnowska i Rafał Pawlak,
- projekt odbudowy – Aleksandra Jurczenia,
- licowanie i charakteryzacja – Magdalena Kołpak.
Interdyscyplinarne podejście pozwoliło osiągnąć efekt, który nie tylko przywraca funkcję zgryzu, ale także daje Pacjentowi piękny, naturalny uśmiech.
Najczęściej zadawane pytania o All-on-X
Czy All-on-X naprawdę można zrobić w jeden dzień?
Tak – jeszcze tego samego dnia Pacjent otrzymuje tymczasowe zęby wykonane w technologii druku 3D, które pozwalają normalnie funkcjonować do czasu osadzenia odbudowy ostatecznej.
Czy zabieg All-on-X boli?
Nie – implanty wszczepiane są w znieczuleniu miejscowym lub ogólnym, a całość jest komfortowa i bezpieczna dla Pacjenta.
Ile implantów potrzebnych jest w All-on-X?
Najczęściej 4–6, ale w opisywanym przypadku w szczęce zastosowano 8 implantów, a w żuchwie 6 – dla jeszcze większej stabilizacji.
Dlaczego All-on-X w Białymstoku?
CZAR-DENT oferuje kompleksową opiekę – od chirurgii po protetykę – z wykorzystaniem cyfrowego planowania, technologii CAD/CAM i doświadczenia interdyscyplinarnego zespołu.









